Что такое гипоэхогенные лимфоузлы
Лимфоузлы являются частью иммунной системы организма и выполняют важные функции по фильтрации лимфы и борьбе с инфекциями. Гипоэхогенность лимфоузлов может быть признаком различных патологических процессов в теле.
Чаще всего гипоэхогенные лимфоузлы свидетельствуют о воспалительных или инфекционных процессах. Например, они могут возникать при вирусных или бактериальных инфекциях, таких как ангина, грипп, туберкулез и другие.
Кроме того, гипоэхогенность лимфоузлов может быть связана с онкологическими заболеваниями, такими как рак лимфатической системы или метастазы других опухолей. Поэтому обнаружение гипоэхогенных лимфоузлов требует дальнейшего обследования и консультации специалиста.
Важно отметить, что гипоэхогенность лимфоузлов является лишь индикатором возможного наличия патологии, и окончательный диагноз может быть сделан только после дополнительных исследований, таких как биопсия или анализы
Оценка отдельных групп лимфоузлов
Наибольшую диагностическую ценность имеет УЗИ шеи, головы. Благодаря сонографии удается оценивать распространенность новообразований, строить прогноз их развития. Метод наиболее важен для дифференциального разделения характера поражений органов головы и шеи. При двумерном сканировании точность диагностического поиска в этих зонах составляет порядка 79%. Доплеровское картирование повышает точность до 85%, в сочетании с контрастированием до 98%.
Внутригрудная группа лимфоузлов интересна при опухолях средостения, онкогематологии, саркоидозе, туберкулезе, раке легких и бронхов. УЗИ в данном случае выполняется эндоскопическое. Часто его совмещают с фибробронхоскопией. Однако методика на практике уступает компьютерной томографии с контрастированием, хотя и сопоставима с ней по точности.
Подмышечная лимфаденопатия сопровождает целый ряд заболеваний молочных желез: фиброзно-кистозную, диффузно-узловую мастопатию, фиброму, липому, рак груди. УЗИ позволяет наилучшим образом оценить дифференцировку корковой и центральной частей узлов, выбрать узел для биопсии. Чаще всего пользуются УЗИ с цветным картированием. Возможна эластография, оценивающая плотность разных участков лимфатического узла.
Из забрюшинных узлов ультразвуку доступны околососудистые и брызждеечные размером более 10 мм. В воротах печени, почки или селезенки визуализируются образования от 7 мм. В малом тазу видны лишь массивные конгломераты. КТ более информативна для этих областей.
Лимфаденопатия на УЗИ
Лимфаденопатия — это увеличение размеров, а также изменение формы одного или группы лимфатических узлов. Это симптом самых разных вирусных и бактериальных инфекций, но также могут быть признаком злокачественного процесса.
Вступая в борьбу с инфекцией лимфоузлы воспаляются. Воспалённые лимфоузлы стремительно «растут» в начале болезни и быстро «сдуваются» при выздоровлении. На УЗИ лимфоузел увеличен за счет корковой и околокорковой зоны, гипоэхогенный по периферии и гиперэхогенный в центре, форма овальная, контур четкий, кровоток только в воротах или отсутствует. Если воспаление переходит в окружающую клетчатку (периаденит), то может сформироваться абсцесс.
Рисунок. У детей с ОРВИ на УЗИ увеличенные шейные лимфоузлы с сохранной архитектурой — овальной формы, контур четкий и ровный, гипоэхогенные по периферии с гиперэхогенным центром. Заключение: Лимфаденопатия шейных лимфоузлов.

Рисунок. Мальчик 6-ти месяцев с выраженным дерматитом. На УЗИ шейные (1) и подчелюстные (2) лимфоузлы увеличены, вытянутой формы, гипоэхогенные по периферии с гиперэхогенной линейной структурой в центре
Обратите внимание подчелюстной лимфоузел с волнистым контуром. Заключение: Лимфаденопатия шейных и подчелюстных лимфоузлов

Рисунок. На УЗИ лимфоузлы увеличены, овальной формы, четкий и ровный контур, эхогенность пониженная, корковая зона несколько расширена, центральный рубчик видно отчетливо; кровоток в воротах усилен, сосуды расположены правильно — расходятся радиально, подкапсульный кровоток не определяется. Заключение: Лимфаденопатия с признаками высокой степени активности.

Рисунок. Ребенок с высокой температурой, ангиной и двусторонней «опухолью» на шее, в общем анализе крови атипичные мононуклеары 25%. На УЗИ передне- и заднешейные лимфоузлы увеличены (максимальный размер 30х15 мм), округлой формы, неоднородные
Обратите внимание, центральный рубчик отлично видно, а кровоток на уровне ворот усилен. Заключение: Лимфаденопатия с признаками высокой степени активности
Большие группы увеличенных лимфоузлов на шее характерны для инфекционного мононуклеоза. Учитывая течение болезни и наличие атипичных мононуклеаров, вероятно, у ребенка инфекционный мононуклеоз.
Рисунок. Женщина жалуется на «опухоль» в подмышке и на локте. Неделю назад повздорила с соседской кошкой. На УЗИ подмышечный (сверху) и локтевые (снизу) лимфоузлы увеличены, округлой формы, выраженная гиперплазия корковой и околокорковой зоны, гиперэхогенный центральный рубчик сохранен; кровоток заметно усилен, сосуды расположены правильно — радиально. Заключение: Лимфаденопатия с признаками высокой степени активности. При болезни кошачьей царапины на месте укуса или царапины образуются небольшие гнойнички и одновременно воспаляются близкие лимфоузлы. Один или группа лимфоузлов увеличиваются в размерах до 5-10 см, становятся болезненными, уплотняются. Через 2-4 недели происходит самоизлечение. Иногда образуются абсцессы и свищи.

Туберкулез лимфоузлов на УЗИ
Туберкулез чаще поражает лимфоузлы шеи, подмышечной и паховой области. Обычно туберкулезный лимфаденит развивается медленно, лимфоузлы безболезненные, средний размер 3 см, но иногда могут достигать 10 см. На УЗИ пораженные лимфоузлы увеличены, гипоэхогенные, с нечетким контуром, часто можно увидеть выраженный периаденит и спаянные пакеты лимфоузлов. Для туберкулезного лимфаденита характерна неоднородная эхоструктура — анэхогенные кистозные полости и кальцинаты. При прогрессировании заболевания может образоваться абсцесс и свищи.
Рисунок. На УЗИ на шее определяется группа увеличенных лимфоузлов, неправильной формы; эхогенность понижена, центральный рубчик отсутствует; неоднородные за счет анэхогенных аваскулярных зон — очаги некроза; кровоток усилен, ход сосудов неправильный, выраженный подкапсульный кровоток. Заключение по результатам биопсии: Туберкулез лимфоузлов.

Рисунок. На УЗИ увеличенные лимфоузлы, неправильной формы с размытыми границами; эхогенность пониженная, центральный рубчик отсутствует; неоднородные за счет мелких кистозных полостей и гиперэхогенных включений с акустической тенью позади (кальцинаты). Заключение по результатам биопсии: Поражение лимфоузлов атипичными микобактериями. Гистологически очаги инфекции М. tuberculosis и атипичных микобактерий часто неразличимы. Классическим морфологическим проявлением в обоих случаях служит гранулема с казеозным некрозом.

Диагностика и обследование гипоэхогенных лимфоузлов шеи
Гипоэхогенные лимфоузлы шеи могут быть признаком различных заболеваний, поэтому их диагностика и обследование являются важным этапом в выявлении причин и назначении правильного лечения. Для определения характеристик и природы гипоэхогенных лимфоузлов применяются различные методы исследования.
Клинический осмотр
Первым шагом в диагностике гипоэхогенных лимфоузлов шеи является визуальный осмотр и пальпация пациента. Врач может обнаружить увеличенные лимфоузлы и оценить их консистенцию и болезненность при пальпации. Однако этот метод не всегда позволяет определить причину увеличения лимфоузлов, поэтому требуется дополнительное обследование.
Ультразвуковое исследование (УЗИ)
УЗИ является наиболее доступным и широко используемым методом диагностики гипоэхогенных лимфоузлов. С помощью специального датчика ультразвуковые волны проникают в ткани шеи и создают образ лимфоузлов на экране ультразвукового аппарата. УЗИ позволяет определить размер, форму лимфоузлов, оценить их структуру и определить степень эхогенности. Врач может также осмотреть окружающие ткани и оценить возможное наличие опухоли в шейном регионе.
Биопсия и цитологическое исследование
Для уточнения причины гипоэхогенности лимфоузлов может потребоваться биопсия. Врач берет образец ткани лимфоузла или его содержимого и отправляет его на цитологическое исследование в лабораторию. Это позволяет определить наличие воспалительного процесса, инфекции или злокачественной опухоли.
Компьютерная и магнитно-резонансная томография
В некоторых случаях могут потребоваться более детальные исследования, такие как компьютерная и магнитно-резонансная томография. Эти методы позволяют более подробно изучить структуру и характер гипоэхогенных лимфоузлов, а также обнаружить признаки распространения заболевания в другие органы.
Обследование гипоэхогенных лимфоузлов шеи требует комплексного подхода и комбинацию различных методов диагностики. Только после тщательного обследования и установления точной причины увеличения лимфоузлов можно приступать к определению наиболее эффективного лечения.
Методика УЗИ лимфатических узлов
Данное обследование по времени занимает от 15 до 30 минут. Перед процедурой следует освободить исследуемую область от одежды, далее наносится на нее гель, по которому врач будет водить специальным датчиком. Во время исследования доктор возможно попросит пациента занять определенное положение тела для детального рассмотрения лимфатического узла. Доктор определяет расположение лимфоузлов, их размеры, отношение к органам и тканям, кровоснабжение и наличие спаек между ними. В конце врач оформляет протокол исследования, с описанием размеров и характера лимфатических узлов, прилагая к нему снимки, иногда записывает результат на электронный носитель.
Категории
COVID-19АллергологАнестезиолог-реаниматологВенерологГастроэнтерологГематологГенетикГепатологГериатрГинекологГинеколог-эндокринологГомеопатДерматологДетский гастроэнтерологДетский гинекологДетский дерматологДетский инфекционистДетский кардиологДетский лорДетский неврологДетский нефрологДетский онкологДетский офтальмологДетский психологДетский пульмонологДетский ревматологДетский урологДетский хирургДетский эндокринологДефектологДиетологИммунологИнфекционистКардиологКлинический психологКосметологЛипидологЛогопедЛорМаммологМедицинский юристНаркологНевропатологНейрохирургНеонатологНефрологНутрициологОнкологОнкоурологОртопед-травматологОфтальмологПаразитологПедиатрПластический хирургПодологПроктологПсихиатрПсихологПульмонологРевматологРентгенологРепродуктологСексолог-андрологСтоматологТерапевтТрихологУрологФармацевтФизиотерапевтФитотерапевтФлебологФтизиатрХирургЭндокринолог
Подготовка и проведение
Подготовка к УЗИ лимфатических узлов, не требует специальной подготовки. Исключением является необходимость исследования забюшинных ЛУ, визуализация которых может быть затруднена из-за повышенного газообразования. Для улучшения визуализации исследуемых структур, за 1–2 суток до процедуры следует отказаться от любых продуктов, способных повлиять на газообразование в кишечнике (горох, отрубной хлеб, овощи и фрукты, богатые клетчаткой).
УЗИ делают натощак, поэтому последний прием пищи должен состояться за 8–10 часов до процедуры. Поскольку периферийные зоны обследования (подмышки, паховая область, челюсть) могут иметь волосяной покров, препятствующий работе УЗ-датчика, все волосы нужно удалить. Дальнейшее выполнение обследования происходит по стандартной схеме с использованием линейного датчика с частотой 5–10 МГц для небольших ЛУ и 3–5 МГц для крупных периферических образований.
Начинают сканирование с зоны поражения, затем осматривают противоположную сторону. При лимфоме Ходжкина и неходжкинских лимфомах, исследование должно охватывать все возможные зоны поражения, включая лимфоузлы и прилежащие органы.
Региональное УЗИ нижнечелюстных ЛУ
Несмотря на то что лимфоузлы, являются относительно доступными для мануального обследования, структурами, обширный диапазон происходящих в них изменений, делает УЗИ незаменимой диагностической процедурой, позволяющей оценить состояние не только лимфоидной системы, но и всех прилежащих органов.
Отсутствие какого-либо негативного влияния, открывает неограниченные возможности для динамического наблюдения за течением болезни, что может служить одним из решающих факторов в дифференциальной диагностике злокачественных и доброкачественных поражений, а также в оценке эффективности проводимого лечения.
Показания к УЗИ лимфатических узлов
Диагностика острого вирусного или бактериального поражения периферических органов лимфатической системы проста. При осмотре, наряду с увеличением и болезненностью ЛУ, врач выявляет специфические признаки инфекции:
- покраснение, гнойную деструкцию миндалин;
- ринорею;
- кашель;
- гипертермию и пр.
После лечения перечисленные симптомы обычно исчезают. Трудности вызывает определение причин хронической аденопатии. Последняя требует назначения лучевых методов диагностики, в ходе которых доктор сможет отличить доброкачественные, в том числе воспалительные, и злокачественные процессы в зоне интереса. Доступным и информативным способом визуализации лимфоузлов является УЗИ.

Метастазы рака молочной железы в поверхностных лимфоузлах
Выполнение ультрасонографии показано при жалобах на:
- появление на теле уплотнений овальной или округлой формы, чувствительных либо безболезненных при пальпации;
- общую слабость;
- повышение температуры тела;
- затруднение при глотании;
- головокружение;
- резкое похудение;
- гиперемию кожных покровов и отек мягких тканей в области лица, шеи, подмышек, паха.
Помимо диагностического поиска причин впервые возникшей аденопатии, ультразвуковое исследование применяют у онкологических больных в качестве скрининга. Выполнять сканирование ЛУ таким пациентам необходимо после оперативного вмешательства и/или химиотерапии не реже одного раза в год.
Ценность эхографии в медицине заключается и в возможности проведения неинвазивной пункции лимфатических узлов. Под УЗ-контролем врач с помощью тонкой иглы получает содержимое анатомического образования (аспирационная биопсия) и направляет материал в лабораторию. По результатам микроскопического анализа определяют характер и природу патологического процесса.
УЗИ cтоимость
| № | Фото врача | ФИО врача | Стоимость | Рейтинг |
|---|---|---|---|---|
| 1 |
Ульрих Бёкер Врач онколог, Профессор, |
от р. | ||
| 2 |
Алексанян Алексан Завенович Врач онколог, Профессор, Высшая категория |
от 2600 р. | ||
| 3 |
Синявин Дмитрий Юрьевич Врач онколог, Кандидат наук, Высшая категория |
от 2500 р. | ||
| 4 |
Фархат Файяд Ахмедович Врач онколог, Профессор, Высшая категория |
от 4000 р. | ||
| 5 |
Афанасьев Максим Станиславович Онколог-гинеколог, Доктор наук, Категория неизвестна |
от 6500 р. | ||
| 6 |
Трандофилов Михаил Михайлович Врач онколог, Профессор, Высшая категория |
от 4000 р. | ||
| 7 |
Андрианов Олег Викторович Врач онколог, Кандидат наук, Высшая категория |
от 3000 р. | ||
| 8 |
Кирсанов Владислав Юрьевич Врач онколог, Кандидат наук, Высшая категория |
от 2300 р. | ||
| 9 |
Шурыгина Галина Викторовна Врач онколог, Степень неизвестна, 2 категория |
от 1600 р. | ||
| 10 |
Жмаева Елена Михайловна Врач онколог, Кандидат наук, Категория неизвестна |
от 2590 р. | ||
| 11 |
Тазина Юлия Андреевна Врач онколог, Кандидат наук, Без категории |
от 2500 р. | ||
| 12 |
Ахов Андемир Олегович Врач онколог, Степень неизвестна, Категория неизвестна |
от 2600 р. | ||
| 13 |
Захаров Георгий Викторович Врач онколог, Кандидат наук, 1 категория |
от 2300 р. | ||
| 14 |
Байчоров Аслан Борисович Врач онколог, Без степени, Без категории |
от 1500 р. | ||
| 15 |
Щербаков Сергей Анатольевич Врач онколог, Степень неизвестна, Высшая категория |
от 2000 р. | ||
| 16 |
Новиков Дмитрий Владимирович Врач онколог, Без степени, Без категории |
от 2190 р. | ||
| 17 |
Гуркин Дмитрий Юрьевич Врач онколог, Степень неизвестна, Высшая категория |
от 1700 р. | ||
| 18 |
Адалов Магомед Магомедович Врач онколог, Профессор, Высшая категория |
от 4000 р. | ||
| 19 |
Пылев Андрей Львович Врач онколог, Кандидат наук, Высшая категория |
от 5700 р. | ||
| 20 |
Шарнов Михаил Борисович Онколог-гинеколог, Степень неизвестна, Высшая категория |
от 1700 р. |
Каковы показания к ультразвуковому исследованию?
Своевременное обследование регионарных и периферических лимфатических узлов (забрюшинных, подчелюстных, узлов в паховой области и шеи и др.) позволяет спасти жизнь и сохранить ее качество.
Что показывает УЗИ обследование лимфоузлов шеи? В ходе процедуры визуализируются их размеры и форма, структура, нарушения кровоснабжения и локации, а также степень эхо-плотности ткани. Можно выявить такие заболевания, как: тонзиллит, фарингит, корь, краснуха, ларингит, рак.
При исследовании учитывают расположение лимфоузлов относительно друг друга. Обследование шейных лимфатических узлов проводится при подозрении на:
- образования на слюнных железах (в качестве альтернативы может быть проведено УЗИ слюнных желез);
- поражения щитовидной железы – исследовани позволит уточнить диагноз (однако чаще направляют непосредственно на УЗИ щитовидки) ;
- туберкулез;
- сифилис;
- болезнь Сезария;
- ряд аутоиммунных патологий;
- онкозаболевания – рак, саркому, лимфомы;
- исследование узлов шеи проводят также при подозрении на актиномикоз.

Кроме припухлости лимфоузлов могут также насторожить:
- повышенная утомляемость;
- озноб;
- бессонница, снижение аппетита;
- резкая головная боль, ломота во всем теле;
- боли в месте локации лимфоузлов – животе, шее, груди.
При добавлении к припухлости узлов хотя бы одного из этих признаков уже необходимо насторожиться. Если вы подозреваете у себя заболевание, связанное с поражением узлов, то обратитесь к доктору, который при наличии показаний назначит вам прохождение УЗИ лимфатических узлов шеи.
В целом, характер основного заболевания играет существенную роль при выборе места для УЗ-обследования, например:
- если есть деформация костной ткани в зубочелюстной системе, то имеет смысл назначение ультразвукового исследования подчелюстных лимфоузлов;
- после мастэктомии и некоторых других оперативных вмешательств необходимо плановое обследование подмышечных и иных лимфоузлов.
Диагностика патологий
Типичные патологии, которые можно выявить и подтвердить при помощи ультразвукового исследования лимфоузлов в разных местах их локализации:
- Лимфаденит. Классический симптом, указывающий на наличие в организме бактериальных либо вирусных инфекций. Чаще всего обнаруживается в лимфоузлах шейного и подмышечного отделов. На УЗИ шейных лимфоузлов наблюдается равномерное увеличение элементов, их легкая неоднородность с сохранением пропорций толщины и длины. Кроме этого может присутствовать васкуляризация структур с общим увеличением числа сосудов (их нормальная структура не изменяется) и усилением кровотока. В отдельных случаях при затяжном лимфадените высокая вероятность периаденита (переход воспалительного процесса в окружающую клетчатку) с образованием абсцесса;
- Инфекционный мононуклеоз. Это острое вирусное заболевание поражает не только лимфатические узлы во всех возможных локализациях, но также зев, селезенку и печень. На УЗИ группы элементов воспаляются и образуют своеобразные конгломераты, при этом лимфоузлы имеют четкие округлые контуры, классическую гипоэхогенность на периферии с гиперэхогенным центральным рубчиком, они не спаяны, однако кровоток на уровнях «ворот» структур значительно усилен;

- Туберкулёз лимфоузлов. Чаще всего поражаются лимфатические узлы в подмышечных, паховых и шейных локализациях. Патология развивается достаточно медленно, лимфатические узлы вплоть до тяжелых стадий безболезненные. На УЗИ они видны как неоднородные структуры без четких контуров, что связано с воспалительным процессом, проникающим в окружающие ткани. Эхогенность лимфоузлов сегментарная, часто наблюдаются анэхогенные кистозные полости, при этом размер спаянных пакетов элементов может достигать 20 сантиметров;
- Доброкачественный лимфоретикулёз. Часто его обозначают обывательским термином «болезнь кошачьей царапины». Представляет собой острое инфекционное заболевание, возбудителем которого выступает бактерия Бартонелла. Преимущественный путь передачи – укус или царапины кожных покровов кошками, собаками, другими животными. На месте повреждения формируются гнойные образования, при этом воспаляются близлежащие к локализации лимфатические узлы. На УЗИ диагностируются группы элементов округлой формы с плохо определяемым контуром, кровоток в сосудах усилен, корковая и околокорковая зона имеют выраженную гиперплазию;
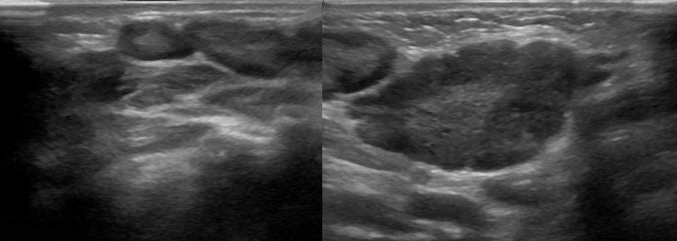
- Злокачественные опухоли. На УЗИ образуют крупные конгломераты лимфоузлов на затылке, около ушей и в подмышках. Сами элементы имеют большие размеры (до 10-15 сантиметров), округлую форму, нечеткий контур и неоднородную эхогенность (отсутствует гиперэхогенный центральный рубчик, наблюдаются множественные анэхогенные участки). Помимо этого в сторону уменьшения, изменяется показатель разницы длины и толщины узла, центральная часть элемента истончена, рисунок периферии размывается и становится нечетким. При метастазировании эхогенность резко сегментарная – гиперэхогенные включения в виде кальцинатов чередуются с некрозными анэхогенными участками. Также в случаях злокачественных опухолей практически всегда атипичен сосудистый рисунок – линии поддаются сильной васкуляризации, перекручиваются, присутствуют артериовенозные шунты и т.д., а спектральный анализ показывает падение индекса резистентности наряду с параллельным увеличением показателя диастолического параметра;
- Лимфогранулематоз. Локализуется в лимфоузлах шеи, над ключицей, средостенных областях. На УЗИ лимфатические узлы значительно увеличены, имеют круглую или немного овальную форму со слабой гипоэхогенностью без центральной гиперэхогенной части. При этом границы у них четкие, элементы не срастаются между собой и представляют подобие «виноградной грозди» с не разрушенными «капсулами» и типичными для нормального состояния «воротами» и сосудистой составляющей;
- Иные заболевания, синдромы, патологии, так или иначе видимые на УЗИ лимфоузлов как отклонения от основных норм.
Немного противопоказаний к диагностике
Категорический запрет этого вида диагностики касается наличия таких заразных болезней, как лепра и сифилис, других недугов, при которых ультразвуковая волна может оказать общее пагубное влияние на общее состояние организма. Не рекомендуется также беременным женщинам. Врачи стараются унимать чрезмерное любопытство будущей матери. Дело в том, что плановая диагностика проводится в среднем 3 раза и позволяет в полной мере оценивать состояние женщины и плода, чтобы предостеречь возможные отклонения. Интенсивность и частота волны излучения способна привести к нагреванию мышечных тканей. А дополнительные процедуры могут принести излишнее волнение.
В случае противопоказаний к проведению процедуры диагностировать орган можно методом пальпации. Однако такой способ не дает возможности выявить метастазы.
Особенности ультразвукового сканирования лимфоузлов
Проведение ультразвукового сканирования методом цветового допплеровского картирования в режиме реального времени необходимо для:
- Выявления новообразований, определения их количества, формы, размеров, структуры, контуров, наличия экстра-капсулярного распространения (поражения близлежащих тканей).
- Подтверждения или опровержения наличия аутоиммунного либо инфекционного процесса.
- Динамического наблюдения в ходе проводимого лечения.
От других диагностических методов УЗИ отличается относительно невысокой стоимостью, отсутствием дискомфорта и болезненных ощущений в процессе выполнения, высокой информативностью результатов по сравнению с компьютерной и магниторезонансной томографией. Данная диагностическая процедура характеризуется безопасностью выполнения, не имеет абсолютных противопоказаний и не требует специальной подготовки. Ее продолжительность зависит от сложности случая – время определяет проводящий диагностику специалист-сонолог.
Лимфатические узлы здорового человека – это гипоэхогенные образования, имеющие овальную форму с более плотной центральной частью, длину не больше 15 мм, соотношение их длины и толщины составляет не меньше 20 мм. В организме лимфоузлы расположены группами, их количество у разных людей может значительно отличаться. В структуре узлов выделяют участки – так называемые «ворота», в которые входят кровеносные и лимфатические сосуды. Оценить их состояние, ток крови и лимфы возможно с помощью метода прямой визуализации – цветового допплеровского картирования (ЦДК).
При наличии у пациента лимфаденита наблюдается равномерное увеличение узлов и повышенная васкуляризация (увеличение общего числа сосудов), однако их структура не изменена. Метастатическое поражение приводит к округлению узлов и деформации сосудов.
Патологические изменения
Указать на воспалительный или деструктивный процесс в узле может изменение его формы, прерывистый контур капсулы, изменение эхогенности и самой структуры
Важно оценить соотношение между мозговым и корковым слоями, а также характер кровотока (измеряется в режиме ЦДК). Кроме того, при некоторых заболеваниях ЛУ могут спаиваться друг с другом или своими большими размерами сдавливать окружающие органы

Причины гипоэхогенного образования
Под гипоэхогенностью лимфатического узла понимают снижение его эхогенности (уменьшение плотности), исчезновение корково-мозговой дифференцировки. Послужить причиной таких изменений могут:
- воспалительные процессы в дыхательных путях, половых органах;
- некоторые инфекционные заболевания: болезнь «кошачьих царапин», туберкулез, краснуха, инфекционный мононуклеоз, всевдотуберкулез, иерсиниоз;
- онкологические заболевания, в том числе лимфогранулематоз, лейкозы;
- травмы, послеоперационные осложнения;
Гипоэхогенные лимфоузлы
Важно понимать, что гипоэхогенный лимфоузел – это узел, в котором произошли патологические изменения в результате метастазирования опухоли, воспаления или инфекционного заболевания

Наиболее частой причиной таких изменений выступает неспецифический лимфаденит, при котором один или несколько узлов увеличиваются в размерах, становятся менее эхогенными, а в режиме ЦДК дают усиленный кровоток по периферии. При гнойном лимфадените они становятся круглыми, в центре появляется анэхогенный (черный) участок деструкции, лишенный кровотока.
Гипоэхогенные узлы без четкой корково-мозговой дифференцировки нередко свидетельствуют в пользу метастазирования, опухолевого процесса
В таких случаях важно найти основную опухоль. Например, при патологии подчелюстных узлов процесс может локализоваться в полости рта, глотки.
При инфекционном мононуклеозе, иерсиниозе в лимфоузлах происходят реактивные изменения – увеличение в размерах, снижение эхогенности. По мере излечения, структура ЛУ восстанавливается.




























